Entre em contato com a ALTA Diagnósticos ou CDPI Barra ou Leblon e solicite à concierge a realização do exame de angiotomografia ou angiorressonância com pós-processamento no visualizador 3D.
Após a realização, sua angiotomografia/angiorressonância será processada para visualização interativa em 3D. O resultado estará disponível em até 7 dias úteis.
Você receberá acesso facilitado diretamente por um link exclusivo.
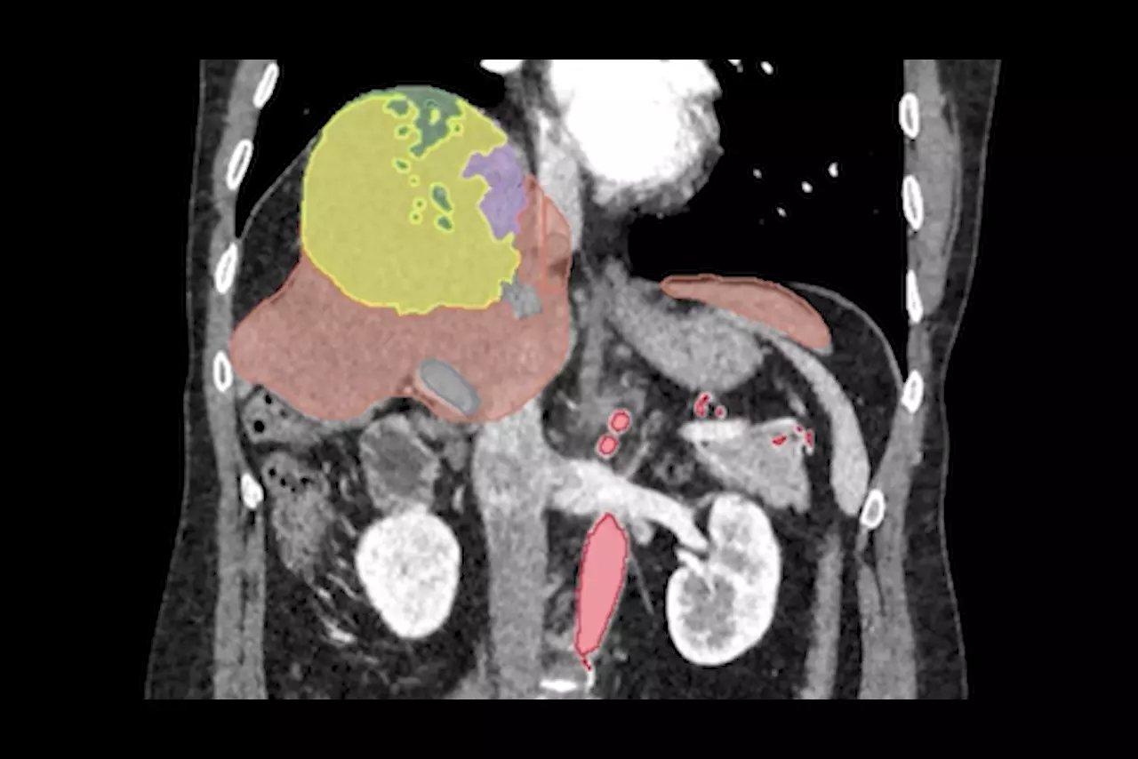
Com reconstruções 3D de alta fidelidade, você visualiza cada detalhe anatômico antes da cirurgia, reduzindo incertezas e aumentando a segurança do paciente.
CDPI e Alta Diagnósticos
(21) 98220 4508
Hospitais: São Lucas e CHN
(21) 99946 5979
Disponível em até 5 dias úteis. Plataforma intuitiva e acessível via web.
Disponível para cirurgias realizadas nas redes de hospitais Americas, ou nas redes de diagnóstico por imagem Alta e CDPI.